Наш портал позволяет произвести запись на услугу "ортопантограмма" в режиме онлайн или по телефону +7 (499) 519-36-74. Мы информируем об актуальных ценах, лучших медучреждениях Москвы и даем достоверные отзывы пациентов.
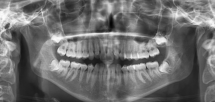
- Ортопантомограмма — это обзорный снимок полости рта, дающий максимальную информацию о состоянии тканей. Стоимость процедуры составляет от четырехсот девяноста рублей до двух тысяч шестисот рублей.
- Общая информация
- Ортопантомограмма назначается для обследования полости рта перед проведением хирургических операций и контроля проведенного лечения.
- Чаще всего эта методика применяется для консультации пародонтолога, ортопеда, ортодонта, имплантолога.
- Лучевая нагрузка значительно меньше, чем при рентгенографии.
- Обследование проводится на ортопантомографе. Возможно получения цифровой версии ортопантомограммы.

- Снимок помогает врачу определить:
- строение зубных рядов;
- структуру мягких тканей и зубов;
- стадии прорезки зубов мудрости;
- состояние пазух носа и верхнечелюстных суставов;
- качество пломб и пломбированных каналов;
- патологию мягких тканей;
- наличие кист и скрытого кариеса.
- Ортопантомограмма 3D
- Панорамный снимок делается в нескольких проекциях и далее комбинируется в компьютерной программе, что дает возможность врачу более точно определить тактику лечения. Дополнительная подготовка не требуется.
- Алгоритм проведения процедуры. Этапы:
- пациент использует средство защиты — фартук;
- положение оборудования корректируется под рост человека;
- для четкости изображения голова пациента фиксируется;
- специальный сканер считывает данные и передает на компьютер.
Процедура безболезненна и длится до 30 секунд.
- У процедуры есть преимущества:
- высокое качество и сохранность снимка;
- минимальная лучевая нагрузка;
- детализация изображения;
- использование съемного носителя информации.
- Показания:
- патологии зубочелюстной системы;
- подготовка к хирургическому вмешательству;
- контроль результата лечения.
- Противопоказания:
- беременность.
- Особенности выполнения исследования детям
- Исследование можно проводить детям, начиная с 6 лет.
- Рентгенолог может дополнительно снизить лучевую нагрузку.
- Специалист имеет возможность проконтролировать развитие и прорезывание зубов.
- Выбираем специалиста и клинику
- На нашем сайте Вы можете:
- просмотреть список медицинских организаций, проводящих рентгенологическое обследование, а также изучить отзывы об их работе и работе рентгенолога;
- получить консультацию по ценам и акциям, проводимым в медучрждении;
- записаться на прием в онлайн-режиме;
- выбрать учреждение с удобным расположением;
- узнать, каким оборудованием оснащено выбранное медучреждение.
Стаж и квалификация врача имеют решающее значение.


Варшавское, д. 10, корп. 1 









